
2024進度 ▒▒▒▒▒▒▒▒▒ 99.9%
大家加油!再撐兩天就跨年了🗓️
2025一切從頭開始
大家許下新年新願望了嗎?
小編先來當第一個🙋
希望今年申請PGY的大家都順順利利
如願錄取自己心中的第一志願~~~
接下來的兩週學術活動較少
大家可以趁機好好休息😴
畢竟天越冷真的越好睡…
當然能多多捧場全院演講也很棒
也感謝各位讀者對週報又一年的支持
下次與大家見面就是明年啦🎆🎡🎉
本期學術活動
| 時間/地點 | 主題/主講/主持 | 會議網址與備註 |
| 1/2 (四) 12:00-13:00 醫學大樓 5AB內科會議室 | ECG reading 心臟內科 何明昀 醫師 | 實體無視訊 |
| 1/3 (五) 07:30-08:30 復健大樓 第一會議廳 | 【全院性演講】 臨床病理討論會CPC:63-year-old man presented with left neck pain for more than 1 year 一般外科 王瑜肇 醫師等 | 會議連結詳見Team+ |
| 1/7 (二) 07:30-08:30 醫學大樓 第二會議廳 | Grand Rounds 風濕免疫科 蔡昀臻 醫師/ 田亞中部長 | 會議連結詳見Team+ |
| 1/8 (三) 07:30-08:30 復健大樓 第一會議廳 | 【全院性演講】 臨床醫學人文討論會CMHC:醫病溝通/同理心 實習醫學生等 | 實體無視訊 |
| 1/10 (五) 07:30-08:30 復健大樓 第一會議廳 | 【全院性演講】 高齡醫學及急(重)症全人醫療跨領域討論會GCHJC 耳鼻喉科 陳仕龍 醫師等 | 實體無視訊 |
| 1/10 (五) 12:30-13:30 醫學大樓 5AB內科會議室 | 2025胸腔內科重症系列課程 胸腔內科 吳秉宸 醫師 | 實體無視訊 |

2025/1/7 (二) Grand Rounds

2025/1/8 (三) CMHC

推薦活動
【圖書館】醫學人文電影線上播放服務

學術活動回顧
2024/12/19 (四) Morbidity and Mortality Conference
R3 李英誠 醫師

這次 MMI 報告的主題雖然沒有經歷大風大浪,沒有加護病房的九死一生,病人確實也在鬼門關前走了一遭,算是一個有學習價值的小品Case。
這個病人最初以典型的阻塞性黃疸來到急診,很快就診斷轉移性的胰臟癌給予化學治療。乍看之下,是一個典型的胰臟癌案例,時間的沙漏在倒數,但一個看似常規例行的化學治療,在這個病人上竟會有致病性的併發症。本來胰臟癌就是癌中之王,無疑是更沉重的打擊。

經歷了R3 的MMI 報告算是也完成了內科生涯的里程碑,為了準備這次的報告,我從生理的角度切入,到各種高血氨原因分析,進一步剖析藥物治病的機轉,從基礎的生化書籍研讀到最近最新的研究期刊,才好不容易把主題弄清楚一點,但只能羅列出幾種最高的可能性,最後確切的答案還是無法得知,著實感受到醫學的博大精深,過程中卻也驚訝於比起剛進醫院時的自己,對於病人的熟練度更細緻了。

感謝腫瘤科楊展庚醫師,腸胃科吳季桓醫師,以及兒童遺傳科蔡安黎醫師給予的建議及諮詢,才能讓報告如此有完整的基礎脈絡。儘管現代醫學再進步,胰臟癌能使用的藥物不多,如果能提早篩選出對病人有療效的藥物,做個人化的精準醫療,才能用更好的品質去照顧好每個病人。

/////感謝李英誠醫師提供以下重點簡報/////




Clerk1 蔡婷蓉 心得
這次MMC會議的討論個案是一位62歲女性因為黃疸、茶色尿跟上腹不舒服來求診,經診斷為胰臟癌,之後開始接受FOLFIRINOX的化學治療。第一療程順利結束,然而在接受第二次化療的第一天卻出現噁心嘔吐及腹瀉,來急診後又發生意識障礙的情況。
為了做意識改變鑑別診斷接受一連串的抽血生化及影像學檢查,先排除電解質不平衡、高低血糖、CVA的情況,後來發現病患的Ammonia以及lactic acid數值很高,急診醫師因為發現病患因為胰臟癌還在施打化療藥物,因此會診腫瘤科,經腫瘤科建議馬上停止使用FOLFIRINOX並給予點滴輸液,過幾個小時病患的意識恢復正常,後續追蹤Ammonia以及lactic acid數值也大幅下降。
因為第二次化療有發生這樣的情況,所以第三次接受化療的時候有幫病患同時補充輸液,希望能降低hyperammonemia的機率,然而第三次化療病患還是發生意識改變、癲癇,抽血同樣發現高Ammonia以及高lactic acid的情況,停止施打化療藥物後就意識回復正常。
講者後來針對FOLFIRINOX中的5-FU造成hyperammonemia以及高乳酸血症的機轉來解釋,介紹了人體ammonia合成以及尿素循環的生化理論。Ammonia是5-FU的終產物,高劑量的5-FU經代謝後會快速的產生大量氨堆積,高氨血症狀態會導致腦中的astrocyte功能發生改變,glutaminase活性降低,進而影響glutamine–glutamate cycle最終造成腦水腫、意識改變跟癲癇發生。
此外,高劑量的5-FU會產生大量fluoroacetate,此物質會抑制Krebs cycle中的aconitase,造成乳酸中毒以及破壞尿素循環。之前上生化課令人眼花撩亂的機轉圖再次出現投影幕上,讓我再次體認到病患的臨床表現背後其實都有各種醫學相關基礎理論支撐。
聽完這場講者用心準備的報告,讓我了解到病患發生意識改變,除了大家朗朗上口的AEIOU TIPS,同時要了解病患目前有沒有接受其他治療或服用任何藥物,這位病患因為醫師發現她有在施打FOLFIRINOX,及時停藥並給予輸液就順利讓病患意識回復。
會議也有人提問是否有施打5-FU化療藥物都應作常規監測血中Ammonia濃度來避免病患發生因hyperammonemia造成意識改變,楊醫師回答說腫瘤科有許多病患施打5-FU,文獻提到施打5-FU造成hyperammonia只有1~10%,以林口長庚一年眾多病患有施打5-FU有只有2~3人發生,所以主要還是病患有發生症狀,例如反應變得比較鈍,再去抽血驗在臨床實務上會較適當,目前指引也沒有建議要常規測Ammonia。
參與MMC會議不僅可以聽到講者用心整理的資料,與會人員的發問也都發人深省,讓我收穫很多!
2024/12/21 (六) Chest-CV 重症學術聯合討論會
PGY1 呂芝瑋 心得

這次跨科別的重症學術討論會,講者來自chest、CV與CVS,討論的主題主要集中在 ECMO與 ARDS 兩大議題。
上半場第一堂課由CVS的何恆讚醫師主講,介紹了 ECMO 的基本原理、儀器、導管建立流程以及 VA-ECMO 和 VV-ECMO 的使用時機。何醫師強調,ECMO 主要是作為替代心肺功能的工具,但它並不是治療的終點,而是一個「搶時間」的手段,幫助爭取更多時間來檢查並處理病人的潛在問題。因此,對於心肺功能已經無法逆轉的病人,ECMO 可能並不適用。

接著,吳家棟醫師深入介紹了 VA-ECMO 的使用時機,並特別提到其可能引發的併發症,其中是 Heparin induced thrombocytopenia (HIT)。吳醫師提醒若沒有及時辨識 HIT,反而進行輸血小板治療可能會加劇血栓的形成,臨床上可以使用 4T score 來輔助診斷。

第三堂課由邱立忠醫師主講,介紹了 VV-ECMO 的使用時機和照護要點。邱醫師建議臨床上可以參考 Extracorporeal Life Support Organization(ELSO)網站來更新 ECMO 的操作與照護方式。

黃昱彰醫師在第四堂課中講解了 ECMO troubleshooting,他指出troubleshooting可從flow、perfusion與oxygenator三大面向進行評估,檢視機器運作是否正常,並確保其能有效提供功能,避免出現上下肢氧合濃度差異所導致的南北症候群(north-south syndrome)。

下半場第一堂由張克威醫師介紹了 ARDS 的治療策略,並強調了lung protection ventilation和Prone position的重要性。特別的是,張醫師提到在 COVID-19 疫情嚴重時,因為呼吸器資源短缺,曾試著讓相對無需插管的患者使用awake prone 以減少插管風險。但由於俯臥位需要患者長時間保持姿勢,因此後續有醫師提出若不確定效果可以利用 ROX index 來評估插管風險。

第二堂課由洪禎佑醫師介紹了類固醇在 ARDS、severe CAP及敗血性休克中的使用,並更新了 2024 年的治療指引。洪醫師指出是否使用類固醇是長期爭論的問題,至今仍難以達成統一共識,指引中也強調應根據臨床情況來判斷是否使用。但有一些研究顯示若患者在使用類固醇後的三天內病情有顯著改善,後續預後往往較好。因此臨床上可以透過這種反應來判斷是否適合使用類固醇。

第三堂課由吳秉宸醫師介紹了MDRO感染的抗生素治療,主要講解了 2024 年 IDST 和 IDSA 指引的更新,並涵蓋了 CRAB、DTR-PA 和 CRE 等多重耐藥感染的抗生素使用方案。

在學術討論會的尾聲,大家有時間進行討論和提問,除了醫療問題外,也有醫師提出一個深刻的倫理問題:雖然使用 ECMO 的病人中有超過一半最終可能會死亡,但是否選擇啟用 ECMO仍然至關重要。有時候除了醫療上的考量外,還可能涉及更多的倫理問題,若患者的狀況不適合,強行使用 ECMO 不僅無助於治療,反而可能延長患者的痛苦並加長死亡的等待時間,這是一個值得思考的問題。









2024/12/24 (二) Medical Pearls/EBM
胸腔內科 吳秉宸 醫師

呼吸道融合病毒(Respiratory Syncytial Virus, RSV)在過往的認知中,我們認為這是嬰幼兒才會感染的疾病。然而,近年來越來越多研究顯示,老年人或合併慢性疾病的患者也可能因感染RSV而住院、進入加護病房、使用侵襲性呼吸器,甚至面臨死亡。近期有RSV疫苗上市,我們也能在大眾運輸交通工具上或電視廣告中看到相關宣傳。本次內科部的EBM活動,將探討RSV疫苗在老年人身上的實證等級。

RSV是一種具套膜的單股RNA病毒,其表面具有G蛋白和F蛋白,藉由這兩種蛋白與宿主細胞的細胞膜融合,進一步進行RNA複製。RSV的基本傳染數(R0)為3,這表示一位感染者平均可將病毒傳播給三位健康人,相較於其他呼吸道病毒傳播力更高。在溫帶國家,RSV主要流行於秋冬季節;而在熱帶或亞熱帶國家,則可能全年流行。

根據美國疾病管制與預防中心(CDC)的統計,65歲以上的患者中,每年因RSV感染住院的人數約為17萬人,其中住院的死亡率達8%。與流感和新冠病毒相比,RSV感染患者的重症程度更為顯著。研究顯示,RSV患者接受侵襲性呼吸器或死亡的機率,相較於已接種疫苗的COVID-19住院患者顯著較高(aOR=1.38; p=0.03);而與已接種疫苗的流感患者相比,差異更為顯著(aOR=2.81; p<0.001)。此外,在感染RSV的患者中,心血管疾病、慢性阻塞性肺疾病(COPD)及氣喘的比例較高。台灣目前尚無大型研究顯示RSV住院患者的死亡率。

在PubMed上應用EBM搜尋“(((older adults) AND (respiratory syncytial virus vaccine)) AND (severe lower respiratory infection)) AND (hospitalization)”並限制搜尋範圍為五年內、隨機化對照試驗(RCT)、及系統綜述/統合分析(meta-analysis),共找到三篇符合研究問題的文章。這三篇文章皆為大型隨機化、雙盲、安慰劑對照試驗。研究結果顯示,與對照組相比,接種疫苗的組別保護力約為70%至90%,而副作用大多為局部施打處疼痛或疲憊。
根據台灣胸腔暨重症加護醫學會專家共識建議,75歲以上的族群應接種RSV疫苗;而60至74歲具有風險因子者(包括COPD、氣喘、特發性肺纖維化(IPF)、進行性肺纖維化(PPF)、支氣管擴張症及肺癌)也建議接種。

/////感謝吳秉宸醫師提供以下重點簡報/////





2024/12/26 (四) Morbidity and Mortality Conference
R3 洪嘉璦 醫師

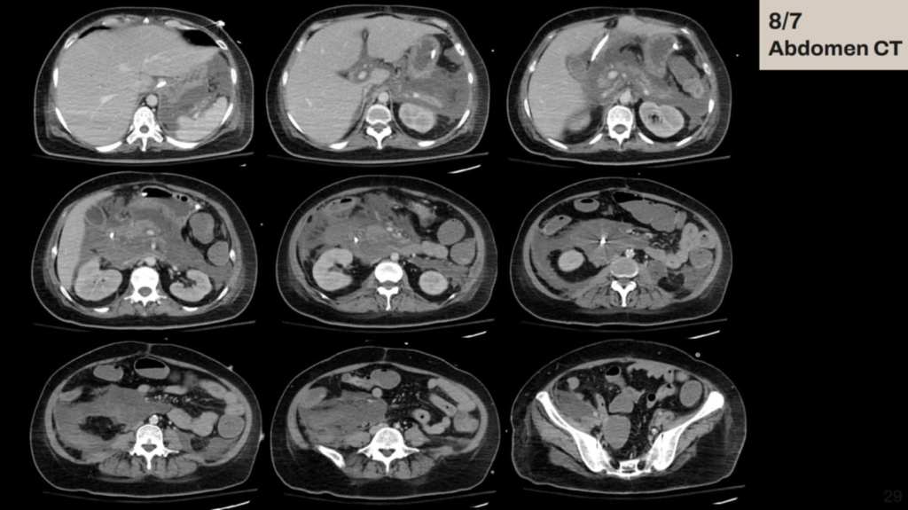
MMI的報告是R3的一項里程碑,原本期待在特休前完成這件大事,但被颱風攪亂一切進程。這個case 是我在值班的時候遇到的,也是當時白天在洗腎室就已經聽說病人因hyperTG而照會nephro評估是否適合plasma exchange。

Pancreatitis 其實不少見,PGY時期就已經在GS遇過severe pancreatitis,但hyperTG induced pancreatitis是我這輩子第一個遇到的病人。如何快速降TG是我從來沒有接觸過的議題。

仔細review 病人history 與用藥差異性,才發現mitotane 可能會導致hyperTG,不過這樣的現象僅僅是case report 等級,一方面是adrenocortical carcinoma 非常少見,一方面是mitotane induced hyperTG 發生率也不高。在住院過程中,病人發生cardiovascular, respiratory, renal failure, 學習如何supportive care 照護multiorgan failure也是很重要的一環。

在severe pancreatitis 合併multiple organ failure 其實死亡率高達6成,但幸虧有大家的用心仔細照護、EBM等級的治療病人,病人才有出院的可能。
這次MM-C確實獲益良多,由生理、病理再到各經典的治療指引、review article,好好地扎實了我的知識。謝謝指導我的老師(威廷&怡文&柏榮醫師),不吝給予我許多寶貴意見,謝謝指導我的fellow其霖學長,有用心與耐心且不厭其煩地幫我rehearsal。感謝我自己把大部分相關的文章快速讀過。

雖然這不是我親自照顧過的病人,但這位病人確實是我的良師,從她身上學到很多東西,也希望未來能學以致用。其實還有很多未解的問題,關於mitotane 在這樣的病人,是否該減低劑量或者停用,目前醫學上仍沒有足夠證據去決定這個醫療處置。

/////感謝洪嘉璦醫師提供以下重點簡報/////





Clerk2 洪晧宸 心得

這次MM-C的主題是necrotizing pancreatitis。病人是44歲的女性,underlying是left adrenocortical carcinoma,2020/02做過adrenalectomy並服用mitotane 1# TID,而後懷疑recur和liver meta,因此2023年開始CCRT和把mitotane改成2# TID,並長期補充cortisone。另外還有高血壓、糖尿病HbA1c 8.5、高血脂(TG 5000多)等。
這次的主訴是腹、腰和背痛,合併頭暈嘔吐,在急診vital sign穩定,PE也沒有specific finding(包括abdominal tenderness, rebounding pain等),抽血看到TG 8000多、lipase 1000出頭。在急診的第三天休克,發燒和心跳快,當時使用了levophed等升壓藥並切了CT,看到grade E, CTSI 6的acute pancreatitis,隨後住進加護病房進行處置。
本次案例討論到高TG、acute pancreatitis的鑑別診斷、mitotane機轉和副作用,以及acute pancreatitis的處置。
在高TG的病人中,需要找到secondary cause,包括肥胖、飲食、藥物,和其他疾病(如DM、甲狀腺低下、nephrotic syndrome、Cushing’s syndrome等),再來也需要考慮primary/genetic的問題,而這名病人的risk factor則是有抽菸、肥胖、未控制的DM,和長期cortisone的使用。此外,高TG也會造成acute pancreatitis,常見的機轉包括血管收縮受損、鈣離子失衡、發炎反應增加等,並進而造成肺、腎、心血管的衰竭。
Acute pancreatitis的緊急處置包含moderate的Lactate Ringer溶液的resuscitation、腸道灌食、快速降TG,和NPO+RI等,而預防性的抗生素則不建議使用,只在感染造成的acute pancreatitis才選用廣效的抗生素。
最後,在這名病人身上,我們學會對於necrotizing pancreatitis病人,使用step-up therapy,相對穩定下若懷疑感染先使用抗生素治療並避免小於四週的intervention,如果要intervention也盡量minimal invasive,除非unstable的病人才考慮open surgery。而Mitotane也可能造成這名病人突然TG飆高,在臨床也須多加注意。
感謝學長姐們幫大家整理每次會議的報告內容,讓我們在每一次的會議中都能獲益良多!由淺入深,從簡單的開始說明,讓我們重新複習基礎知識,後來再帶到特別的情況並深入探討,雖然我們不一定會讀到或遇到如此複雜的case,但是透過每次的會議,可以讓我們檢視自己和學長姐的思考流程有什麼差異,自己還有什麼地方可以精進,也能讓我們有所警惕,把這些少見的情況keep in mind,未來如果遇到了才會想到並做出相對應的處置。
也很感謝內科部的師長們如此用心的準備每週的會議,還有如此用心的有獎徵答~隨著內科的輪訓到了尾聲,回想這兩個多月實在是收穫滿滿,也期許自己能帶著這些養分,成為更好的醫師。
內科活動回顧
2024/12/23 (一) 內科客廳小聚
Clerk2 吳岱儒 心得

這次內科客廳小聚特別邀請PGY2張渠學長和clerk CR藍淇禎學姐來和大家分享關於照顧病人的心得以及臨床學習的方向,還有同學之間互相分享各自在內科實習期間的收穫。

張渠學長一開始以「PGY的一天」為主題,帶著我們一起看他每天工作的行程,在過程中學長都有仔細整理了一些重點,像是查房前去看病人有哪些地方要注意,接新病人的住院醫囑要包含哪些項目等。除此之外,學長也分享在臨床上常見的問題該如何處理,以及建議我們現在可以努力的方向,包括加快打病歷的速度、熟悉基本的procedure、學會報病人給老師聽,讓我們將來在成為PGY能夠更快上手。

而同學們在回饋自己內科實習心得普遍都有很好的反應,相較於大五剛進臨床時進步不少,除了能夠和學長姐討論病人的治療策略,更懂得如何和病人建立良好的溝通關係,有真正成為醫療團隊一員的感覺,同時也充分感受到內科扎實的教學氛圍。

最後,因為適逢PGY選配報名的時間,張渠學長分享自己當初在其他醫院實習的心得和準備PGY面試的方法,也為同學解答了不少關於PGY申請的疑問,包括備審的書寫、臨床案例的準備等,有了準備的方向讓大家對於即將到來的面試更有信心,相信最後都會有好的結果。

總醫師點將錄
一晃眼三個月過去
又到了點將錄的介紹時間啦
請將掌聲預備好👏👏👏
讓我們一起來認識
優秀的內科部帥哥總醫師吧~~~
學術總醫師
胃腸肝膽科 F1 陳昱州

我與長庚的緣分,似乎從出生就註定了。在台北長庚醫院出生,大學期間順利考上長庚醫學系,並在林口長庚醫院開始了我的醫學生涯。有幸在這個時間轉角,進一步多了 GI Fellow 與內科部學術 CR 等身分。再次感謝陪伴自己成長的家人,以及一路上師長、學長姐、同儕的指點與啟蒙。
我的興趣涵蓋西洋藝術、歷史、地理、哲學、心理學、科幻神祕學。而在休閒時間,我喜歡瀏覽說書頻道、看電影、旅行、玩桌遊。從小總是很好奇這個世界為什麼會是這樣運作,深信世界上還有很多尚未被理解的事物,並希望未來能親眼見證這些未知事物的揭曉。同樣地,醫學領域中也存在許多未解之謎,我期待自己能在未來的醫療進步中參與其中,並將這些新的觀念應用在病人的身心靈治療上。
網路總醫師
胃腸肝膽科 F1 廖健宏

大家好,我是擔任網路CR的胃腸肝膽科Fellow 1廖健宏,來自台中,畢業自中國醫藥大學醫學系,PGY在台中榮總接受訓練,一輩子生長及求學軌跡都在台中,直到三年前來到林口長庚,桃園也因此成為我第二個家。
我喜歡音樂,大一大二的時候參加了學校的管弦樂團拉小提琴,後來也加入福智青年讚頌團的樂隊繼續音樂的興趣,雖然後來練習的時間少了,但是很幸運今年12月有機會在台中表演!除了小提琴以外,我的另一項專長是影片製作,參加過許多短片比賽,重要的獎項包含在阿姆斯特丹水電影競賽獲得冠軍,也曾在擔任替代役期間榮獲藝文競賽微電影組第一名。如果科內有影片製作需求,我也會樂意協助!
我也喜歡國際交流,讓外國人認識台灣的美好是一件快樂的事情。在大學期間的寒暑假我都會安排各種活動,包含接待國際學伴、擔任醫聯會國際活動的工作人員或國際義診團的志工。我也參加了除了醫學領域以外的一些活動,包含亞太人權高峰會、水利署舉辦的水利青年營,也因為在這些活動中表現亮眼,被指派為代表前往不同的國家參加會議,包括比利時、荷蘭、巴西甚至是很少台灣人能進入到的紐約聯合國總部。歡迎對國際交流有興趣的夥伴可以一起交流、分享經驗!
以上是第九十九期週報~
有什麼話想對我們說的話
都歡迎來信至ccj3665@gmail.com!
發表留言