
六十四期內科週報剛好在聖誕夜~
小編在這邊祝大家聖誕快樂
都能夠順心如意
本週一樣有豐富的內科活動
讓大家在年末寒冷之時依舊能夠充電再次出發
這個天氣如果能夠跟親友來個火鍋聚會想必也是一大樂事🍲
註:為了聖誕節應景氣氛,小編這次在週報內穿插了許多聖誕樹~希望能讓大家感受到佳節氣氛!

🎅🏽本週學術活動🧑🏽🎄
| 時間/地點 | 主題/主講/主持 | 會議網址與備註 |
| 12/25(一) 11:00-12:30 5AB內科會議室 | 基礎風濕病 帶狀課程: 單一關節炎 鑑別診斷: 以敗血性關節炎與結晶性關節炎為例 風濕過敏免疫科 張哲慈 醫師 | 實體無視訊 |
| 12/26(二) 07:30-08:30 第二會議廳 | Medical Pearls/EBM: CAR-T cell therapy as second line therapy for relapse/refractory diffuse large-B cell lymphoma 血液科 高小雯 醫師/ 余光輝 主任 張文震 主任 田亞中 部長 | https://cgmh.webex.com/cgmh/j.php?MTID=m22828d4baaac75281889ce469dad5652 |
| 12/26(二) 12:00-13:30 5AB內科會議室 | CXR reading R2 林可君 R2 謝宜鈞 R2 郭怡珩/ 黃建達 副主席 | https://cgmh.webex.com/cgmh/j.php?MTID=m0303307d1e474d539e2e41163f9c8e49 |
| 12/28(四) 17:00-19:00 長庚大學 第二醫學大樓 B1會議廳(一) | 推薦活動:高教深耕計畫「『醫療、文化與社會』工作坊」演講系列:論死亡自主權之不存在,迎向21世紀的兩大公衛難題 陽明交通大學醫學系醫學人文暨教育科主任/公衛所所長 楊秀儀 教授 | 實體無視訊 |
2023/12/26 (二) Medical Pearls/EBM

2023/12/28 (四) 長庚大學
「醫療、文化與社會」工作坊
推薦這場由長庚大學醫學系人文及社會醫學科主辦,再長庚大學的實體演講,邀請到立論清楚,口條清晰的陽明交通大學公衛所所長楊秀儀教授來講授有關"死亡自主權"的議題,內容肯定精彩,歡迎大家參與。


🎄內科活動回顧🎄
2023/12/19 (二) Morbidity and Mortality Conference
R3 廖健宏 醫師

在12/19的MM報告結束後,我鬆了一口氣,事實上,我為了MM準備了兩次報告。原本要報的MM case,是一個疑似Wilson Disease的病人,然而,最後病人ATP7B檢測為陰性,且較沒有可分享的知識點。與Fellow學長討論後,決定更改題目討論IgG4 related disease的病人。

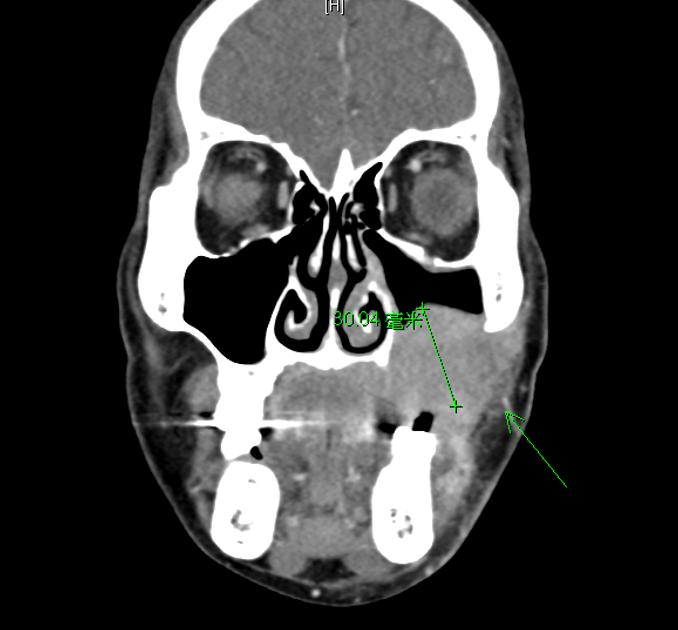
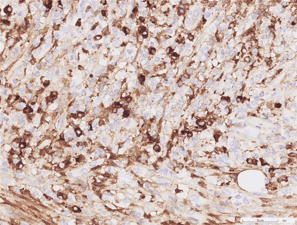
我們要討論的這位病患因為左臉頰腫塊合併牙關緊閉住院,一開始當作蜂窩性組織炎治療。電腦斷層顯示腫瘤已吃穿上頷竇,且有雙側頸部淋巴腫大,放射科一開始懷疑是頰黏膜癌,因此會診耳鼻喉科安排切片排除惡性腫瘤的可能性。第一次的切片結果顯示發炎細胞浸潤,沒有看到惡性腫瘤證據,病人又急著出院,因此就帶口服抗生素回家,在感染科門診追蹤。於門診追蹤時也發現有結合型高膽紅素血症,加上下腹部疼痛,建議再次住院。住院後腹部電腦斷層發現有腹膜炎,及乙狀結腸腫大,疑似腸炎。入院後繼續抗生素治療,並針對高膽紅素血症會診肝膽腸胃科,追蹤免疫學檢查,發現ASMA陽性,然而由於病患拒絕肝臟切片檢查,因此沒有進一步確認免疫性肝炎。後來再次會診耳鼻喉科安排切片,病理報告一樣是沒有惡性發現,病患也再次要求口服抗生素出院。

出院後約1-2個禮拜,病患因右上腹痛再度來急診,第三次住院由簡榮南副院長primary care。電腦斷層顯示腹膜炎(尤其是右上腹)、雙側肋膜積液及膽囊壁增厚。病患住院期間再次接收左臉頰切片,但結果仍是沒有發現惡性腫瘤。簡副認為,一個這麼大的腫瘤,連續多次切片都沒有發現是惡性,那應該要往其他方向去思考。因此在查閱過相關資料後,當科PGY學妹許昕瑜醫師抽了IgG、IgG4及檢驗可能造成頭頸部腫大的病毒、黴菌感染(包含EBV, aspergillus等),結果意外發現IgG、IgG4 上升,也因此懷疑到IgG4 related disease。會診風濕免疫科時,當時根據放射科報告,認為有骨頭侵犯等較惡性的表現,比較不像IgG4 related disease。然而最後還是有請病理科染IgG, IgG4, 也發現有符合IgG4 related disease的病理診斷,包含淋巴球及漿細胞浸潤合併纖維化,IgG4:IgG陽性細胞比>40%及IgG4陽性細胞> 10/HPF。同時,病患合併一個以上器官的腫大或腫塊,以及血清IgG4>135mg/dL,藉此確診IgG4 related disease,也給予病患臉頰腫、腹痛(IgG4相關性自體免疫肝炎、膽管炎及腹膜炎)及肋膜積水一個合理的解釋。病患也開始接受類固醇治療,牙關緊閉及左臉腫的症狀也在治療後明顯改善,肝功能的各項指數也逐漸恢復正常。



雖然MM 花了兩倍的時間做了兩份報告,但是在過程當中查詢資料自我學習也是有不少收穫。而這次MM meeting內容的產出,要感謝指導老師簡榮南副院長、陳威廷醫師、方耀凡醫師和病理科的李麗玉醫師,也要感謝指導Fellow黃柏棣學長和提供case的唐嘉駿醫師。

感謝廖健宏醫師提供以下重點簡報:





2023/12/19 (二) Clerk2 內科客廳小聚
Clerk2 鞠采靜

轉眼間,大六的實習已經過了一半,大家開始忙起準備備審資料、思考要投哪幾家醫院、面試該如何準備。正當我們被重重煩惱包圍的時候,剛好內科部舉辦了這次的活動,讓我們有機會聽取PGY2內科組博承澔學長之前的經驗以及建議。

其實在臨床上的焦慮,大多時候都是源自無知,像是醫學知識上的無知、系統操作上的無知、經驗上的無知、對於未來的無知等。這種無數個問號,就會產生一些不知道如何選擇,不確定自己是不是在正確道路上的困擾。學長分享了許多臨床工作上的點點滴滴,包含從臨床業務的處理、與護理師的溝通、熟知主治醫師病人家屬動向的重要性,以及進了臨床還是要讀書才能知道自己可以做什麼等。但,貫穿整個分享的一句話就是:「到時候就會了,在PGY的那一年會成長很多。」聽到學長的這句話,好像不得不同意這就是不變的事實。無知當然會讓人焦慮,但能消除無知的方法也只有親自體驗。就像現在回想大五剛進醫院的時候,我連用HIS系統都覺得很困難,深怕自己按到不該按到的東西。跟過了一年多的現在比起來,能感受到再次來到內科,可以省掉一開始適應的時間,並比較知道學習的方向,甚至也會開始觀察PGY或是R上線是如何處理自己的臨床業務。

雖然知識上、技巧上還要走很長遠的路,但希望正如學長的那一句話,我也可以在PGY的那一年成長許多。非常感謝內科部在這麼關鍵的時刻舉辦這個活動,除了地點很溫馨之外,還準備了豐盛的美食,讓我們邊填飽肚子邊坐在沙發上輕輕鬆鬆毫無壓力的情況下詢問學長。當然最感謝用心回答我們所有問題的學長以及全程陪伴我們還會補充師長觀點的鄭醫師。


🎉總醫師點將錄🎉
又到了總醫師點將錄時間啦~
這次我們要介紹三位CR
小編深深覺得總醫師是各大業務的重要支柱
除了各司業務
他們對於學弟妹也是不遺餘力的協助🥹
學術CR兼GI Fellow1 陳昱廷 醫師

大家好我是學術CR陳昱廷,也是肝膽腸胃科的Fellow 1,我們平時的工作就是幫助大家安排學術活動,最重要的是確保場地和設備的順暢,當投影機或麥克風出問題時,就可以聽到我們充滿絕望的心跳聲。我們家養了一隻2歲的短腿貓曼赤肯,有被我帶過的clerk應該都有被我推薦加入牠的粉專,當然我都會強調這跟成績無關,不過clerk聽到這幾乎都會加入就是了。內科的人數和教學活動這幾年越來越多,學弟妹不管在工作和學習的品質都更有保障,歡迎有興趣的學弟妹加入!
康樂CR兼CV Fellow1 洪佳豪 醫師

「就算整個城市被寂寞綁票,我也不會奔跑」,因為我要值班(喂不是啦XD,大家好我是洪佳豪,新任的康樂、心臟科總醫師,「我不怕千萬人阻擋,只怕自己投降」是值班看STEMI會診的寫照,看完之後,「發著呆然後微微笑,接著緊緊閉上眼」,希望有機會能安穩地睡一下。平時喜歡唱歌、打羽球,很高興有機會能與內科同事們一起打拼,也喜歡在討論中一起找出解決臨床問題的過程,團隊合作的感覺有趣又溫馨,走過的這三年,都是成長的足跡,也時刻提醒自己不要忘記最初的理想。期待未來的一年能舉辦充實的活動,讓大家樂於加入內科的行列,一起成長茁壯。

Clerk1 CR兼Rheuma Fellow1 陳泓睿 醫師

老師學長姊學弟妹及各位醫師好,我是陳泓睿,畢業於臺北醫學大學。曾經到各家醫院見實習,接著亞東醫院PGY,後來有幸在林口長庚接受內科住院醫師訓練,目前是風濕免疫科 Fellow 1,擔任 Clerk 1 CR 職務。之後也歡迎各位來到風濕免疫科見習,路上遇到或是夜間值班的時候也可以互相討論學習。最後希望各位內科部晨會可以準時出席,這樣我才不會被請去喝咖啡!

這裡是第六十四期內科週報!
想要對我們說什麼嗎?
歡迎來信至(ccj3665@gmail.com)!
發表留言