
大家六月過的好嗎~
本次直接公布下週起至六月底的學術活動
故可能下次見面就是七月囉 先預祝端午佳節愉快!!
小編現在正如火如荼地準備國考中
真的是緊張刺激啊🤧
希望可以順利通過
這樣就可以好好放人生最後的暑假了(突然覺得不想長大🫨
也祝大家六月順心!
本週學術活動
| 時間/地點 | 主題/主講/主持 | 會議網址與備註 |
| 6/13(二) 07:30-08:30 第二會議廳 | Medical Pearls/EBM: Catheter-directed therapies for the treatment of acute pulmonary embolism 心臟內科 曾子慈 醫師/ 余光輝 主任 褚柏顯 主任 林俊彥 部長 | https://cgmh.webex.com/cgmh/j.php?MTID=me28f666735c583c45353cf12bb1d8b90 |
| 6/15(四) 07:30-08:30 第二會議廳 | Morbidity and Mortality Conference R3 趙祥元 F1 徐智威/ 林俊彥 部長 | https://cgmh.webex.com/cgmh/j.php?MTID=mb8f82ad461839d5cf17e4ad3b375a740 |
| 6/15(四) 12:00-13:30 5AB內科會議室 | CXR reading R2 謝宜蓁/ 黃建達 副主席 | https://cgmh.webex.com/cgmh/j.php?MTID=m52b419d18cc301a742b51600a363ca68 |
| 6/16(五) 07:30-08:30 第二會議廳 | 全院性演講: State-of-the-Art Lectures: Past, present and future of prosthetic rehabilitation and oral care in patients with head and neck cancer 義齒補綴科 黃意方 教授/ 牙科部 潘裕華 部主任 | 實體無視訊 |
| 6/16(五) 11:30-13:00 5AB內科會議室 | 基礎風濕病帶狀訓練課程: 寡關節炎(Oligo-arthritis)鑑別診斷: 以血清陰性關節炎(Spondylo-arthritis)為例 風濕過敏免疫科 張哲慈 醫師 | 實體無視訊 |
| 6/20(二) 07:30-08:30 第二會議廳 | Morbidity and Mortality Conference R3 周鈺芸 F1 簡皜/ 林俊彥部長 | https://cgmh.webex.com/cgmh/j.php?MTID=m353d5894748e1914a01045cacb224f73 |
2023/6/13 (二) Medical Pearls/EBM

2023/6/15 (四) Morbidity and Mortality Conference

2023/6/16 (五) 全院性演講:State-of-the-Art Lectures

2023/6/20 (二) Morbidity and Mortality Conference

上週學術活動回顧
2023/6/6 (二) Morbidity and Mortality Conference
R3 游仁醫師

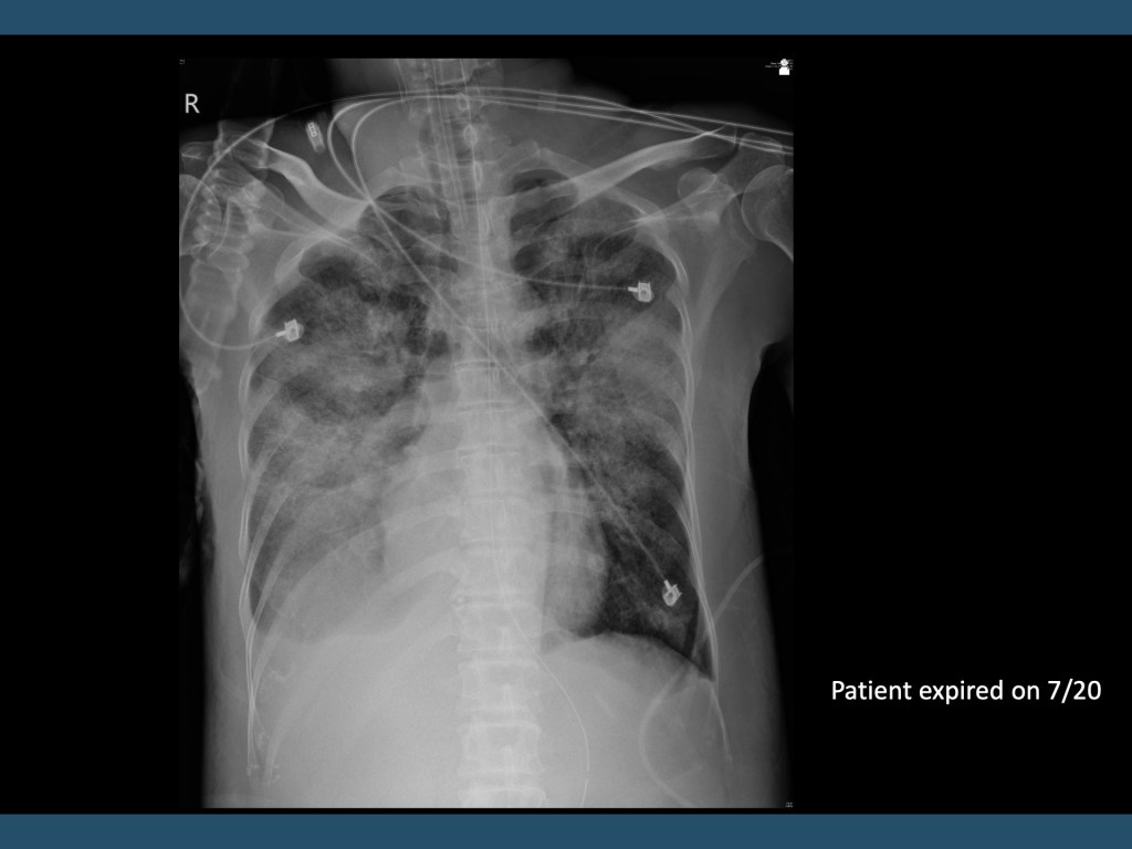
這次報告的case是一個中年男性,在這次住院新診斷紅斑性狼瘡然而在住院檢查的過程中開始出現罕見病發症。病人開始出現喘以及咳血的情形,X 光出現新的浸潤,後來咳血狀況惡化,插管後做支氣管鏡診斷了瀰漫性肺泡出血。然而在治療後病人的肺出血狀況沒有改善,並且很快出現敗血性休克而過世。


瀰漫性肺泡出血(diffuse alveolar hemorrhage)是紅斑性狼瘡少見嚴重併發症之一,有極高的致死率。目前對於他的病理機轉不是很了解,但可以從病理切面上進行簡單的分類。在紅斑性狼瘡病人相關的瀰漫性肺泡出血可以使用methylprednisolone以及cyclophosphamide治療,但在治療瀰漫性肺出血的同時需要注意可能的感染。


我想特別感謝一下我的指導老師高國晉醫師、黃韻如醫師以及郭明宗醫師對這次MMI耐心提供意見以及指導以及蒞臨現場評論,讓這次的MMI報告得以完成。此外,我還要感謝病理科的李麗玉醫師對於病理方面提供的資訊以及MICU1的同仁對這位病人的照顧。最後要特別感謝高毓婷學姊,感謝學姊耐心地順訓練口才及排練。她的豐富的報告經驗讓我對報告有新的理解,從這次準備報告的過程中學到很多。在這次準備MMI過程中,反覆檢視這個病人的每一筆醫囑,每一個檢查、檢驗報告,反思過後發現當時的處置實有很多地方可想得更多,處理得更細膩。希望這次報告以做為未來處理病人的的經驗值。


謝謝游醫師提供以下重點簡報:








2023/6/7 (三) Morbidity and Mortality Conference
R3陳昱廷


本次報告主題是Proton therapy gastritis,特別感謝腸胃科陳威廷醫師和放射腫瘤科黃炳盛醫師的協助,在準備報告的過程中,提供明確的方向,也從中學習到很多知識。本次選擇的案例是肝癌第四期的病人,在接受免疫和質子治療後,因爲反覆上消化道出血和敗血症住進腸胃科加護病房,最後因爲反覆的感染與休克,走向肝臟衰竭。免疫合併質子治療,是較新的治療方式,且需要病人高額自費,因此能夠找到的文獻不多,台灣的經驗也有限,希望透過這次報告的準備,了解相關的治療,也為之後的次專科訓練有所提升。

要學習一個疾病,除了自己親自照顧之外,事後檢討,並且嘗試做成一份報告,再搜尋相關文獻,有非常大的學習效果,記憶也特別深刻。最後回顧病人的治療經過,找出不是事後諸葛的改進方式,對後續病人的照護有很大的幫助,自己照顧起來也會更有成就感。


由於能夠找的資料有限,所以改進的重點,就擺在治療前病人的挑選上,優先挑選出併發症較少的病人,改善癒後的同時,也能減輕病人不必要的費用。另外治療中的監測,還有併發症發生時的快速診斷,也是我們在有限治療下,能夠做到的。最後再次感謝陳威廷醫師和黃炳盛醫師的協助,讓我從中學習到很多寶貴的知識,順利完成本次的MMI報告。

謝謝陳醫師提供以下重點簡報:



2023/6/8 (四) Grand Rounds
胸腔內科 邱立忠醫師

急性呼吸窘迫症候群(acute respiratory distress syndrome, ARDS)是由諸多危險因子造成,約85%為肺炎,吸入性肺炎和敗血症。ARDS致病機轉複雜,以嗜中性球為主要細胞,誘發一連串發炎反應及免疫系統活化,上皮細胞和內皮細胞損傷,肺泡發炎滲液蓄積,導致嚴重低血氧,需要使用呼吸器支持。嚴重個案甚至併發多重器官衰竭而死亡,死亡率接近五成。


目前處置方式是針對致病原因加以治療,良好的保護性呼吸器設定(lung-protective ventilation strategies with low tidal volume and adequate PEEP)和俯臥(prone position),若仍然嚴重低血氧則可考慮rescue therapy,如ECMO(葉克膜)等。ARDS目前仍沒有良好指標可以準確診斷及預測疾病發展或惡化。未來方向可考慮以precision medicine方式,結合生物或臨床指標等將病人分群(subphenotypes),以期能及早診斷,預測疾病進展及治療來降低死亡率。

謝謝邱醫師提供以下重點簡報:





2023/6/10 (六) 血液透析工作坊
「血液透析工作坊真的是學校沒教過的呦!!」
PGY1 潘政宇

今天能參加到血液透析工作坊實在是非常的幸運與收穫充實,在上課之前老師就準備課前預習的資料,可以看出老師舉辦的用心。上課老師以本院住院醫師過來人的角度來介紹洗腎的原理,以至於了解洗腎order的開法;血液透析抗凝血劑的使用;還有超音波guide的double lumen的打法(基本上CVC也適用)。對於一個剛剛run完一般內科腎臟科的我,真的很惋惜,為什麼我沒有早一點上到這堂課,這樣不只讓我照顧洗腎病人更加自信,也可以少接一些洗腎order開完洗腎室學長姊的電話?!


上午的課程不但可以學到洗腎機器的歷史(這個醫學史上非常偉大的發明),還有洗腎order的開法。當老師把長庚洗腎order開立的介面放出來的時候,真的非常有共鳴,常常order打開,當要考慮病人到底透析液的鈣離子濃度要多少,透析流速,還有到底heparin要怎麼run,我總是陷入躊躇,然後可能不明就裡的開過去。之後洗腎室學長姐或護理師就會打來問說,這位病人有在服用抗凝血劑,你確定要這樣開嗎等等,原來老師們曾經也有這樣的經驗。經過上午三小時珍貴扎實的課程,我終於可以從容的有系統的評估洗腎病人的情況,並且開立洗腎醫囑!!




下午的課程是密集的超音波導引double lumen實作體驗,每個人都會在老師的協助下透過超音波對模擬假人(動脈真的會有pulse的假人)real time的施打double lumen。這個經驗對我來說彌足珍貴,記得之前在clerk的時候,就不時遇到學長姐打CVC不太順,不僅操作時間過長,不斷嘗試可能也增加併發症的風險。各種導管置入本身就是一個風險不低的處置,我很幸運能在學長的指導下成功施打CVC,但要我自己來,內心還是會害怕,把病人當作練習感覺也對病人非常不好意思。有了假人模擬的經驗和學會超音波的使用,我相信對每個人未來要打各種導管,無論有沒有超音波的協助,都有非常大的幫助!!











醫學教育本來就是一門非常高深的學問,畢竟我們面對的是病人,要儘量減少犯錯。而學長姊老師願意花時間把過去不如意的寶貴經驗有系統的傳承下來真的非常感動,而不是想說後輩多嘗試,錯幾次就會了。在這科技日新月異,AI學習能力越來越強,醫療環境醫病關係日漸緊張之際,能在住院醫師早期就接觸到類似精緻扎實的課程真的很幸運,也對未來的行醫非常有幫助。希望這樣的課程能不斷延續下去,也萬分感謝辛苦籌備課程的老師們!!










內科好事
本次的內科好事有兩件事!
第一是本年度內科部的主治醫師職位晉升
他們在臨床或是學術上的成就斐然 在醫學之路上不斷精進
恭喜他們!!
第二是R1陳敏庸的羅馬假期
能夠親眼看見以往課本上的景致
真是令人嚮往!
2023年內科部主治醫師職位晉升

羅馬假期
R1 陳敏庸
嗨,剛加入內科大家庭的我很榮幸能受邀分享自己的好事。自從去年10/12號全院公告只要寫報備單就可以出國後相信大家也開始在特休期間安排出國了吧XD而我也不意外地在去年11月去了一趟義大利。
猶記得在疫情剛爆發時,新聞都報導義大利是重災區,然而如今他們99%的人都沒在戴口罩了,好像根本沒有疫情這件事,可能是沒在戴口罩吧覺得那邊空氣特別棒(?
一下飛機就到了靠近瑞士邊界的科摩湖,它是阿爾卑斯山脈的冰蝕湖,搭著渡輪遊湖,迎面拂來的風好冷但風景超美。


如果要說義大利最有特色的一個城市那非威尼斯莫屬了,然而光顧前最好看一下潮汐跟氣象,淹水記得帶雨鞋!推薦德國商館頂樓,那裡是大運河拍攝最佳點,至於要不要搭共多拉的話……30分鐘120歐元就自行斟酌囉^^


接著來到文藝復興的發源地—佛羅倫斯,相信大家對文藝三傑—達文西、拉裴爾、米開朗基羅應該都很熟悉了吧,但,你應該不知道梅第奇家族對吧,他們可是佛羅倫斯的土豪呢!美術館和裡面的館藏都是他們捐出來的,喔對了,廣場上的大衛像是複製品喔,真跡在美術學院內。附上著名地標聖母百花大教堂跟大推的冰淇淋結束這回合。


來到羅馬的第一件事就是去我們歐洲唯一的邦交國梵蒂岡朝聖啦~常聽說一句話—“條條大路通羅馬”,然而羅馬的道路卻都好小條,停車位一位難求外尖峰時刻更是悲劇……乾脆用步行的好了,反正觀光點:萬神殿、西班牙階梯、特萊維噴泉都在同一區XD別忘了金杯咖啡來一杯,想喝latte記得要加”cafe”,不然你會拿到一杯牛奶喔^^


旅程的最後搭著義大利的高鐵回米蘭,老實說沒有台灣的高鐵來的舒適,椅背居然無法倒平@@

大家不妨利用特休來給自己一個羅馬假期,沫浴在托斯卡尼的艷陽下,真是人生一大享受😀

這裡是第四十一期內科週報!
想要對我們說什麼嗎?
歡迎來信至(ccj3665@gmail.com)!
發表留言