
這兩週國際情勢動盪不安,隨著中東權力核心更迭與荷姆茲海峽的軍事對峙,國際油價震盪再次拉響全球通膨警報,台股也是一片慘綠,願一切能即時停損,不要再有更大的傷亡🙏。
儘管世界紛擾,我們仍須專注於醫療本職。本期推薦多項值得關注的課程與開工後的學術活動回顧,讓我們在變局中持續精進,願世界平安🕊️
本期學術活動
| 時間/地點 | 主題/主講/主持 | 會議網址與備註 |
| 3/18 (三) 20:00-21:00 | 【線上】 2025線上心電圖課程 Wide QRS tachycardia 吳家棟醫師 | 連結請見社群 |
| 3/19 (四) 7:30-8:30 醫學大樓 第二會議廳 | Medical Pearls / EBM 徐智威醫師/ 余光輝主任 劉鳳炫主任 田亞中部長 | 實體無視訊 |
| 3/19 (四) 12:00-13:00 醫學大樓 第二會議廳 | 【全院】 醫療生涯讓我看見的第一原理 醫師作家 侯文詠 | 實體無視訊 |
| 3/20 (五) 7:30-8:30 醫學大樓 第二會議廳 *西醫師繼續教育積分(品質)申請中 | 【全院】 全院實證醫學討論會EBMC 馬偕 呂君儀部長 | 實體無視訊 |
| 3/20 (五) 12:30-13:30 醫學大樓 5AB內科會議室 | 【2026胸腔重症系列課程】 Advances in the management of ARDS respiratory support 邱立忠醫師 | 實體無視訊 |
| 時間/地點 | 主題/主講/主持 | 會議網址與備註 |
| 3/24 (二) 7:30-8:30 醫學大樓 第二會議廳 | Morbidity and Mortality Conference R3 廖郁涵 F1 洪郁祺/ 田亞中部長 | https://cgmh.webex.com/cgmh/j.php?MTID=m6a2cdd85e0aead6aba384444bfdaa7a9 |
| 3/25 (三) 7:30-8:30 復健大樓 第一會議廳 | 【全院】 臨床醫學人文討論會CMHC(清大) | 實體無視訊 |
| 3/26 (四) 7:30-8:30 醫學大樓 第二會議廳 | Morbidity and Mortality Conference R3 羅筱婷 F1 李佳玲/ 田亞中部長 | https://cgmh.webex.com/cgmh/j.php?MTID=m510f9c9c8205fd69e69c630d4bac034d |
| 3/26 (四) 12:00-13:00 醫學大樓 5AB內科會議室 | CXR Reading R2 蔡幸秀 R2 林顥恩 R1 吳書瑋/ 黃建達教授 | https://cgmh.webex.com/cgmh/j.php?MTID=m08c0f5cc65e81f5c5f9a3b838c856edc |
| 3/27 (五) 7:30-8:30 醫學大樓 第二會議廳 | 【全院】 我在長庚的三兩事 謝燦堂教授 | 實體無視訊 |
2026/3/19 (四) Medical pearls/EBM

2026/3/24 (二) Morbidity and Mortality Conference

推薦活動
2026年內分泌暨新陳代謝科系人工智慧的臨床運用課程
新代科今年的「帶狀課程」,雖分佈在三月、五月的週一下午,仍歡迎有興趣的內科同仁一同加入討論,這次課程的重點放在AI在新代科的日常運用,如何從了解、下手、熟悉,讓智慧醫療不再是口號,是實際臨床的活用!

2026/3/20 (五) Friday night talk

2026/9/18 (五) -9/20 (六) 7th Asia Pacific AKI CCRT
今年9月18-20日,第七屆APAC AKI CRRT在台灣舉辦,距上次舉辦已經經過8年(2018),方基存教授為大會主席,希望大家踴躍參加!
以下為大會網站,可以持續關注,定期有會議資訊更新。

學術活動回顧
2025/3/5 (四) Morbidity and Mortality Conference
R3 唐嘉雯 醫師

在準備這次 MMC 的過程中,讓我有機會完整認識與複習 Invasive fungal sinusitis 的臨床表現與處理。這位病人之前並非我照顧過的個案,而是在感染科舉辦的會議中剛好聽到這位個案的討論,讓我對他的治療過程與臨床發展產生了一些興趣,也促使我進一步回顧相關文獻與臨床經驗。

回顧這個病人的病程,在去年三次住院、歷時將近八個月的過程中,可以發現治療上除了感染科的藥物選擇之外,耳鼻喉科醫師和神經外科醫師也經常進行內視鏡檢查與手術清創。對於侵襲性黴菌感染而言,除了適當的抗黴菌藥物治療之外,積極的外科清創同樣是治療成功的重要關鍵。在此個案中也可以學習到,與不同專科醫師密切聯繫並持續討論,能夠共同制定治療計畫並影響影響病人的預後。

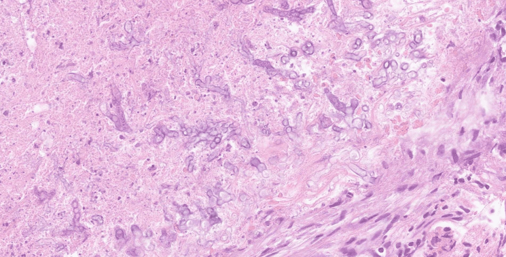
此外,由於黴菌的形態學在治療後或壞死組織中可能出現形態變化,常會使病理判讀變得更具挑戰性。在本次個案中,最初病理判讀為 Actinomyces 與 Mucorales,但後續實驗室培養與 NGS 檢測結果顯示黴菌為 Aspergillus fumigatus,也提醒我們在臨床診斷上仍需整合多種檢查結果。分子診斷技術的早期介入,不僅能夠更精準地確立致病菌,也可能爭取寶貴的治療時間,對於侵襲性黴菌感染的處置具有重要意義。

對於這類高難度的個案處理,跨團隊合作與持續討論相當重要。這位病人除了糖尿病外並沒有明顯的免疫不全病史,但黴菌在其體內的清除仍然相當具有挑戰性。病人在維持治療半年以上後,腦脊髓液中仍可檢測到黴菌,顯示感染控制仍需長期追蹤與評估,因此後續維持劑量與藥物選擇也變得更加關鍵。此個案也提醒我們對於侵襲性黴菌感染需保持高度警覺。


最後,感謝感染科、耳鼻喉科與神經外科醫師在準備這次 MM-C 期間的協助與討論,也感謝病理科醫師教導我觀察組織玻片,讓我更了解不同染色方式的目的與判讀重點。再次感謝我的指導老師吳丁樹醫師在病歷整理、臨床討論與報告架構上的建議,使我在這次報告中獲得寶貴的臨床經驗與反思,也讓我對侵襲性黴菌感染的診斷與治療有更深入的理解。
C2 麥恩嘉 心得
今天晨會的主題是一個相當令人印象深刻的病例報告,內容是關於侵襲性黴菌性鼻竇炎(invasive fungal sinusitis)併發眼眶與腦部侵犯的病例。從簡報一開始的病人背景介紹,到後續的臨床經過與治療過程,都讓我對這類疾病的嚴重性以及多專科合作的重要性有更深的理解。
這位病人是一名近70歲男性,本身有第二型糖尿病。最初的主訴是左眼突然出現視力模糊並伴隨眼球疼痛,大約持續一天。進一步追問病史,發現其實在三個月前就已經出現左側頭痛、鼻涕倒流以及嗅覺改變等症狀,當時被診斷為慢性鼻竇炎並接受內視鏡鼻竇手術。然而之後病情逐漸惡化,開始出現複視以及眼球活動疼痛,最後導致視力問題。
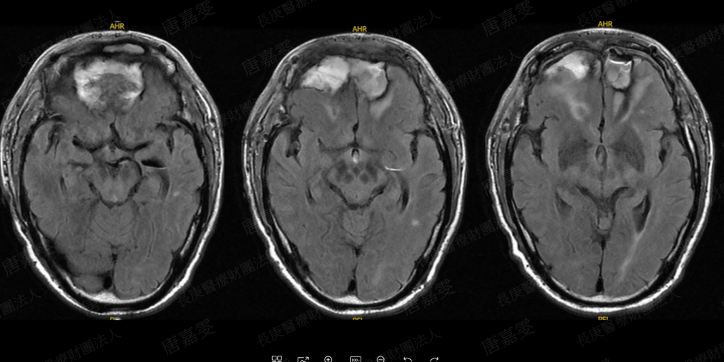
這位病人的治療過程非常漫長且複雜。從簡報中可以看到,病人在不同時間點接受了多次手術,包括鼻竇內視鏡手術、顱骨底清創、腦膿瘍清除,以及VP shunt 與 EVD 的放置與更換。整個病程中總共歷經多次手術與住院,顯示這類感染一旦侵犯到顱內,治療將會非常困難。病人的功能狀態也隨著病程逐漸下降,從原本的生活自理,後來出現癲癇、臥床,甚至最後雙眼失明。
在治療策略上,簡報也提到術後需要定期內視鏡追蹤與清創,並搭配影像學檢查如 MRI 來監測疾病是否有復發或進展。這讓我理解到侵襲性黴菌性鼻竇炎的治療並不是單一次手術就能解決,而是需要長期且密切的追蹤。
透過這次晨會,我最大的收穫是對侵襲性黴菌感染的臨床警訊與嚴重性有更深的認識。對於有糖尿病或免疫功能不佳的病人,如果出現鼻竇炎症狀合併眼部或神經學症狀,一定要提高警覺,及早診斷並積極治療。同時也體會到在複雜病例中,耳鼻喉科、神經外科以及感染科等多專科合作的重要性。
整體而言,這次的病例分享不僅讓我了解疾病的臨床表現與治療策略,也提醒我在未來臨床工作中要更加注意危險族群與早期徵兆。這是一場非常具有教育意義的晨會。
/////感謝唐嘉雯醫師提供以下重點簡報/////





2025/3/10 (二) Grand Rounds
心臟血管內科 張伯丞醫師

傳統的右心室(RV)節律器裝置會導致心臟衰竭,統計資料指出,接受右心室節律的患者中,約 20–40% 在五年內會發展為心衰竭。來自 DAVID 試驗 的資料顯示,較高比例的右心室節律(約 60%)與較低節律相比,心臟衰竭住院風險增加1.6 倍。

傳導系統節律(Conduction System Pacing, CSP),包括希氏束節律(His bundle pacing, HBP)與 左束支區域節律(left bundle branch area pacing, LBBaP),旨在提供更接近生理性的心臟刺激方式。HBP 自 2000 年起已應用於人體,而 LBBaP(及其原型:左心室室間隔節律)則大約在 2016 年開始在臨床上受到廣泛關注。比較性研究,例如 His-Alternative 與 His-SYNC Pilot 試驗顯示,HBP 在療效上可達到與傳統 雙心室心臟再同步治療(BiV-CRT) 相當的效果,但所需導線更少。進一步研究指出,LBBaP 在改善左心室射出分率(LVEF)及降低心衰竭住院率方面優於 BiV-CRT。

總結而言,文件指出 CSP 相較於 RV 節律具有明顯優勢,包括 縮短 QRS 持續時間、改善功能分級,以及降低死亡率與心衰竭住院率。未來 CSP 可能會取代雙心室節律,成為主要或補救性的節律器裝置選擇。

C2 傅貽蔓 心得
在大內科見習期間,有機會參與由張伯丞醫師主講的 Grand Round。本次演講的主題為「Conduction System Pacing(CSP)」的最新發展與臨床應用。透過張醫師的介紹,讓我對於近年心臟節律治療的新技術有了更清楚的理解,也讓我思考在臨床上如何在理論與實際操作之間取得平衡。
張醫師在演講中提到,從生理角度來看,His bundle pacing 是最接近正常心臟傳導的方式,因此理論上可以達到最自然的心室收縮。然而在實際操作上,His 束的解剖範圍較小,導線定位較困難,而且捕捉閾值(capture threshold)有時較高或不穩定,容易出現無法有效捕捉的情形,也可能增加電池耗電量。
相較之下,Left bundle branch pacing 近年逐漸被廣泛應用。LBBP 的目標區域較大,因此導線較容易固定,成功率也較高。雖然在心電圖上可能出現類似右束支傳導阻滯(RBBBpattern)的圖型,但其捕捉閾值通常較低且穩定,長期耗電量也較接近傳統節律器,因此在臨床上被認為是一個相對安全且實用的選擇。
在演講中,張醫師也分享了一個臨床案例。一位 65 歲女性因呼吸困難就醫,被診斷為持續性心房顫動(persistent atrial fibrillation),當時心跳高達 161 次/分鐘。心臟超音波顯示左心室射血分率(LVEF)約為 40%,血壓也偏低,顯示已出現心臟衰竭的情形。雖然醫療團隊一開始使用 beta-blocker 與 amiodarone 進行藥物控制,但對於這類心跳過快且心功能受損的患者,單純藥物治療往往不一定能長期改善狀況。透過這個案例,我也更理解 CSP 在某些病人身上可能提供更生理且穩定的節律支持。
這次晨會讓我印象最深的是臨床治療並不只是選擇「最理想的技術」,而是需要在生理效果、技術可行性以及長期安全性之間取得平衡。雖然 His bundle pacing 在理論上最符合心臟自然傳導,但在目前臨床實務中,Left bundle branch pacing 因為操作成功率高、閾值穩定,因此可能更具有實際應用價值。
整體而言,這次 Grand Round 讓我對於心臟節律治療的最新發展有更清楚的認識,也讓我了解臨床決策需要考量多方面因素。未來在臨床學習中,我也希望能持續關注這些新技術的發展,並進一步理解其在不同病人情境中的應用。
/////感謝張伯丞醫師提供以下重點簡報/////





內科活動回顧
2026/2/9 (一) 內科客廳小聚
Y2內科組 葉芷淇 主講/Clerk CR 劉中偉 主持
C2 潘柔辰 心得

這是我們組的第一次內科小聚,首先非常由衷地感謝內科部提供這樣難得的機會,不僅提供美味的晚餐及飲料,更讓我們有機會齊聚一堂互相切磋這段期間的內科經驗,還用心地額外邀請了兩位學長姐進行內科的經驗分享。

看著簡報其中一頁密密麻麻的 Lab Skeletons (Fishbone) 和資料整理格式,我突然意識到我們與學長姐之間的差距,其實並不只是知識的密度以及深度,更多的是對每一床病況架構的掌控以及 mindset。之前大五剛進內科的時候覺得很衝擊,在病房電腦前常常被潮水般的數據及影像淹沒,每一床抽的時間還有要抽的項目都不一樣,常常連藥物都沒有空去摸索為什麼要用。到了大六,覺得經過一年的淬煉真的有所成長,比較知道怎麼在打病歷的時候整理每一位病人的病程以及做了哪些處置,甚至會開始看一下藥物的使用原因及劑量,也學會試著想一下之後病人可能的病況走向。這次的內科小聚分享讓我再次理解原來內科醫師的強大,除了持之以恆的知識累積之外,更是建立在一套極致的結構化的清晰思維之上。

另外,特別讓我印象深刻的是學姊一張「溝通合作」的拼圖,相信雖然剛進醫院實習不到兩年,但是不難發現臨床工作從來不是一個人的英雄主義:不論是對護理師,呼吸治療師,藥師或醫檢師等職類的「察言觀色」與溝通技巧是非常重要的,學姊提到其實只要注意「事事有回應」並盡量避免直接的衝突及紛爭,在臨床工作上的氣氛會輕鬆和睦許多。

希望自己未來可以保有對同儕的謙卑及待人處事的細緻圓融,儘管在繁重的臨床事務及疲憊之下,還能保持那份「清楚表達與感謝」的修養,這是我在不管多少次晨會,多少堂teaching round, 看多少次小麻或是 UptoDate 上永遠學不到,卻最想擁有的溫暖專業樣貌。

這一次的內科小聚,我覺得讓我在時隔快一年又再次踏入內科時,重新抓住了對於醫學這條漫漫長路的熱誠及領悟,讓我的視野更寬廣也更清楚了一些。不僅僅收穫了好幾張精華的簡報內容,更是看見了如何在嚴謹專業的道路上,既保有理性冷靜架構化的思維,又能維持對人的溫度及謙卑。
白袍夜航
醫學生的夜間學習筆記
C2 陳靖蓉

夜間學習時,除了觀摩值班醫師處理complain外,也多了許多機會練習procedure。那晚在新陳代謝科夜間學習,一位老先生夜裡突然出現呼吸急促。為了進一步了解原因,學長指導我協助抽取 arterial blood gas。這是我第一次嘗試抽 radial artery,用的是蝴蝶針。比起femoral artery,手上的血管更細、更難以精確定位。第一次刺入時因角度不夠精準,未能成功取樣,那一刻能明顯感覺到自己的緊張與手心的汗,病人的哀號聲與病人太太的擔憂更讓我感到有些焦慮。第二次,在學長的提點下,我重新定位脈搏、調整角度後,終於看到帶有脈動的血液順利湧入針管,那股成就感混合著對病人疼痛的歉意,這次經驗讓我明白技巧熟練的重要性,也體會到技術背後的責任。
檢驗結果出來後,學長帶著我逐項分析——pH 偏高,PaCO₂ 明顯下降,是主要異常,因此可判斷為呼吸性鹼中毒。HCO₃⁻ 輕度下降則是代償反應。低氧血症(PaO₂ 低、SpO₂ < 90%)提示病人存在氣體交換問題。學長提醒我,呼吸性鹼中毒常見於低氧誘發的過度換氣,病人因喘而增加呼吸速率,CO₂ 排出過多。接著,我們討論還需抽哪些 lab data 以釐清病因:包括 CBC以及CRP以評估感染,電解質與腎功能檢查代謝狀況,血糖變化、血液和尿液培養、胸部X光等等。ABG 提供了關鍵的即時生理資訊,但不能單獨解答所有問題,必須與臨床表現、數值以及影像整合。
在新陳代謝病房裡,許多患者都有糖尿病相關併發症。那晚,另一位剛做完截肢手術的糖尿病病患血壓驟降、Hb下降,學長懷疑是 hypovolemic shock,立即指示補液,同時提醒我們也不能忽略 distributiveshock的可能。於是我們一邊監測尿量與血壓變化,一邊討論鑑別:若為hypovolemic shock,通常伴隨脈搏快速、皮膚冰冷、在輸液後應該可以觀察到血壓回升。休克治療很重要的是趕快診斷休克狀態及找到病因,但大部份尚未找出原因前,就應開始積極的矯正初步異常。
那晚的緊張、嘗試與討論,讓我學到的不僅是技術與知識,靈活的臨床思維也同樣重要。夜間學習總讓人更靠近臨床的真實,也讓我明白,醫師的冷靜與敏銳,往往是在這些黑暗時刻中被鍛鍊出來的。
內科好事x新鮮的R點將錄
R2 楊欣琳 醫師
大家好~我是剛升上內科R2的楊欣琳!PGY兩年一眨眼就過去了,很慶幸9月上工前有一個月的小暑假,於是身為愛宅之人的我也決定要出門,雖說花了大半時間去紐西蘭玩,但有其他內科小夥伴會分享,在這裡就改和大家分享我的日本行。說到臺灣人常去的日本,春天一定會想到櫻花,而秋有楓葉、冬有雪景,那熱氣蒸騰的夏天去到日本有什麼好看好玩的呢?當然就是煙火大會和夏日祭典啦!趁著小暑假,前進日本北陸貪心地一口氣搜集東北三大祭典!
【秋田竿燈祭】
竿燈如其名,是在長竹竿上掛上許多燈籠,造型形似稻穗、燈籠則象徵米袋,意在向神明祈求五穀豐收,每個竿燈最大高達12公尺,重量達50公斤!本來只想著看看280根竿燈點亮的美景,但真的到現場看著表演者用驚人的平衡感,在周遭熱鬧的吆喝聲中,不段變換用手掌、額頭、肩膀和腰部等身體部位撐起又高又重的竿燈,才知道這個祭典不只好看還很好玩!

【青森睡魔祭】
想到青森大家是不是都只先想到蘋果呢?下次去青森還可以來看看壯觀熱鬧的睡魔遊行!遊行中會展示以歷史或神話故事為題材做出的巨大睡魔燈籠,燈在花車上配合著太鼓、笛子等樂器由人推進和轉動,隊伍中有穿著繽紛服飾的舞者「跳人(HANETO)」邊喊聲邊起舞,想要的話只要租借衣服就可以直接加入隊伍中一起跳!我們去到青森已是睡魔祭的最後一天,街道遊行改到中午,夜晚將燈移到船上在海上遊行和放煙火,可惜這次去白天因為飄雨,睡魔燈幾乎都罩著塑膠布,晚上則是燈太遠看不清楚…只好去睡魔小屋過過眼癮,除了近看讚嘆於燈的精緻,點亮之後燈的氣勢真的完全不一樣呀!看來還要再找機會參加真正夜晚的睡魔遊行。


【仙台七夕祭】
最後一站來到了仙台,和前兩個祭典不同,七夕祭主要是在仙台市中心周邊的商店街掛上由巨大竹子和和紙全手工製成的各種裝飾,印象最深刻的是各家店鋪製作、裝飾著精緻紙花綵球和千紙鶴等的大型飄帶(吹流),據說每個一個吊飾重達五公斤!親眼見識及實際身在祭典中的氛圍真的是非常特別的體驗,推薦給大家下個夏日也來看看~ 最後雖然很忐忑新的階段有許多新的事物要重新學習和熟悉,還是最開心可以成為內科大家庭的一份子,接下來的這一年會努力迎接挑戰的,還請大家多多指教!

以上是第一百三十一期週報~
有什麼話想對我們說的話
都歡迎來信至ccj3665@gmail.com!
發表留言