
剎那間,一切抵達了終點,
繆思輕喚,腦海浮現曾經的片段。
兒時的願望是否都已經實現?
大大的理想,
便是一切無悔選擇的開端。
享受最後的時光吧!
乘著千百萬的祝福,
佩戴好口罩,背負上責任,
宣誓成為一名真正的醫師。
雲深不知處,卻終於贏來曙光,
山高路遠,我們已走過最初的懵懂。
㊗️福即將迎來畢業的醫/牙/中醫學生們一切安好,國考順利通過💯✨~~
本期週報收錄上個週末舉辦的跨科研究論壇各位講師的重點簡報,讓沒辦法參與的夥伴們也能快速吸收,也回顧了過去兩週的眾多內科活動。此外,本期內科好事介紹了海邊㊙️境,讓大家也能透過螢幕踏踏浪🌊精彩內容,千萬不要錯過~~
本期學術活動
| 時間/地點 | 主題/主講/主持 | 會議網址與備註 |
| 5/19 (一) 11:00-12:30 醫學大樓 5AB內科會議室 | 【內科部基礎風濕病訓練帶狀課程】 多關節炎鑑別診斷:以Osteo-arthritis、Rheumatoid arthritis、Lupus arthritis)為例 風濕過敏免疫科 張哲慈 醫師 | 實體無視訊 |
| 5/20 (二) 7:30-8:30 醫學大樓 第二會議廳 | Medical Pearls / EBM 鄭鈞文 醫師/ 余光輝 主任 謝顯森 主任 田亞中 部長 | 實體無視訊 |
| 5/21 (三) 20:00-21:00 | 【線上】 心電圖及心臟內科基礎教育課程 吳家棟 醫師 | 主題:CV Lecture, hyperlipidemia 會議網址:https://cgmh.webex.com/cgmh/j.php?MTID=m5c3b9a58f0e76c8b9b793c20b446d696 上課檔案https://drive.google.com/drive/folders/1Y8iA6kSnIAQ4saF3yYOt4Qs-El-CVggf |
| 5/22 (四) 7:30-8:30 醫學大樓 第二會議廳 | Morbidity and Mortality Conference R3 林安砥 F1 藍淇禎/ 田亞中 部長 | https://cgmh.webex.com/cgmh/j.php?MTID=mf694fff3ef08ffa78e0ba82699787ab2 |
| 時間/地點 | 主題/主講/主持 | 會議網址與備註 |
| 5/27 (二) 12:00-13:30 醫學大樓 5AB內科會議室 | CXR Reading R2 曾德維 R2 許昕喬/ 黃建達 教授 | https://cgmh.webex.com/cgmh/j.php?MTID=m002680cb1bcb4114b3ac52f35c0cd637 |
| 5/28 (三) 7:30-8:30 醫學大樓 第二會議廳 (西醫師繼續教育積分(品質)申請中) | 【全院】 醫療品質討論會CQC | 會議連結詳見team+ |
2025/5/20 (二) Medical Pearls / EBM

2025/5/22 (四) Morbidity and Mortality Conference

推薦活動
內專加油站
本屆R3的內科專科醫師訓練即將進入尾聲,今年度起內科部為協助R3們準備內科專科醫師考試,辦理"內專加油站"系列課程,陸續由內科學長姐們傳承考試準備經驗與各次專科重點提示與解題示範。內科部期待除了提供充實的臨床經驗訓練之外,也能提供應考的相關提點。

2025/5/26(一) 研究新知學術演講系列
腎臟科 張智翔 醫師 推薦

學弟妹大家好,5/26有幸邀請到Dr Manish 新加坡中央醫院 (SGH新加坡最大的急性綜合醫院,並列世界最佳醫院之一) 的急性腎損傷科主任。除了7:30-8:30會在第二會議廳演講外,我們另安排了10:00-11:00在5AB內科討論室有Case discussion。英文不好也沒問題,我們幫你問。
討論的內容非常臨床,包含
- 血壓太低時到底要不要停CRRT?
- 用CRRT治療,病人還是高血鉀,如何處理?
- CRRT可否移除乳酸?治療乳酸中毒的機制?
- 用CRRT脫水還是血壓掉,有什麼好方法?每班脫前一班IO postive量會造成什麼問題。
- 腎功能改善,CRRT要改為IHD還是直接停掉?
- 用CRRT/IHD是否還要用利尿劑?
- CRRT blood flow 可以開到300嗎? 會有什麼問題?
- PMX的使用時機,
- 是否可以用CRRT來治療呼吸性酸中毒?會有什麼後果?
這是大家接觸國際大師的機會,如果當時不用查房,歡迎來聽看看。
2025/5/29(四) 問卷在醫學教育研究的應用:量表的翻譯及驗證性因素分析(CFA)

2025/6/9(四) 多體學領域新知演講
葉勇信 副部長 推薦

你想了解什麼是最前沿、最火熱的生醫研究工具嗎?單細胞RNA定序(scRNA-seq)正是揭開細胞異質性與疾病機轉的關鍵利器!柯泰名教授是這領域的重量級專家,擅長將scRNA-seq與數據科學結合,深入解析發炎性與免疫疾病中的細胞變化。本次演講柯教授將帶你從單一細胞視角,一窺人體免疫系統的奧秘,並分享如何透過數位雙胞胎與單細胞技術推動精準醫療。無論你是對多體學、新興生醫技術或個人化醫療有興趣,都千萬別錯過這場知識含金量超高的精彩講座!
柯泰名副教授現任國立陽明交通大學生物科技學系副教授,並在中央研究院生物醫學科學研究所擔任研究職務。他於台灣大學醫學院微生物學研究所取得博士學位,專長涵蓋免疫基因體學、藥物基因體學、個人化醫學與分子流行病學。
柯教授領導「精準基因醫學實驗室」(Lab of Precision Genomic Medicine),致力於結合單細胞基因體學與數據科學方法,深入探討人體免疫系統在發炎性與免疫相關疾病中的變化。他善於整合多個單細胞資料庫,識別影響疾病進程與治療反應的關鍵細胞族群與生物標記,推動個人化醫療的發展。
其研究成果發表於多個國際頂尖期刊,包括《Circulation》與《Clinical and Translational Medicine》,展現其在單細胞分析與免疫學整合研究方面的卓越貢獻。
學術活動回顧
2025/5/6 (二) Morbidity and Mortality Conference
R3 王思惟 醫師

在加護病房的訓練過程中,遇過許多重症且困難的病例,然而我卻選擇這個病例。雖然病人的病程短並且恢復快,但當中有許多可以學習的地方,而且一般病房就可能遇到,如果可以在更早就發現,或許病人就不會進展到重症。

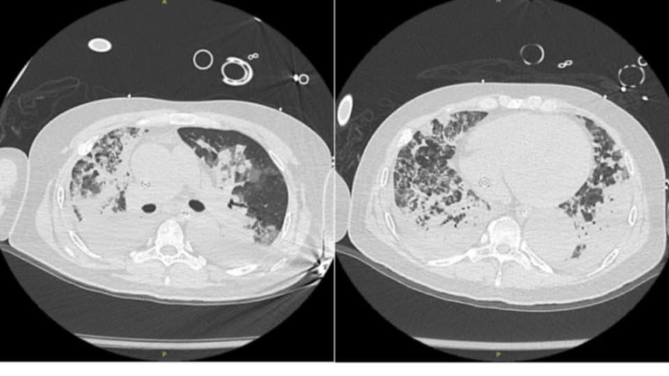
這位四十餘歲男性,到急診時就問到野外活動史,病人也提到在山上工作,疑似被蟲咬,這是非常明確的TOCC。雙側肺炎,並且合併非典型症狀,如肌肉酸痛、腹瀉,抽血檢驗呈現血小板低下、肝指數異常,後期進展至急性腎損傷,這些都顯示病人有可能是非典型病原體的感染。

病人插管後到了CCU,重新再詢問病史,包含病人有在軍營裡過夜,肚臍處有紅腫,做身體檢查時,才在肚臍上發現非常典型的焦痂(Eschar),這是教課書上才會出現的病灶,而現在卻出現在眼前,所以馬上拍照記錄下來。焦痂通常出現在被恙蟎幼蟲叮咬的一到兩週後,有可能是當時在急診或病房還沒有發展成焦痂。焦痂出現的部位大多在皮膚柔軟的地方,通常在腰部以下,包含大腿、鼠蹊部、生殖器、背部、頭皮都有可能。形成的原因是因為恙蟲病的病原體,立克次體,會攻擊血管內皮細胞,造成微小血栓和血管通透性增加,導致組織缺血壞死,形成黑色的壞死焦痂,外圈會圍繞著紅色的發炎組織。早在前兩天感染科會診時,吳丁樹教授就高度懷疑是恙蟲病感染合併肺栓塞,若再加上這個皮膚的典型病灶,可能性就更高了,然而病人的恙蟲病檢驗報告,一直到病人出院後才正式發出,證實是恙蟲病確定病例。

能完成這次的報告,要非常感謝感染科吳丁樹教授,以及心臟科何明昀醫師的指導。吳教授提供許多臨床實務經驗,提醒我哪些線索與非典型感染有關,而以肺栓塞為表現的恙蟲病確實非常少見。同時感謝何醫師,指導有關肺栓塞部分,藥物治療以外還可以配合溶栓導管,提供高風險的肺栓塞患者另一種治療選擇。最後,也感謝當天各位師長的指教與建議。

/////感謝王思惟醫師提供以下重點簡報/////





2025/5/8 (四) Grand Rounds
腫瘤科 黃振洋 醫師





/////感謝黃振洋醫師提供以下重點簡報/////






2025/5/13 (二) Morbidity and Mortality Conference
R3 許承越 醫師

這次準備MM時選擇了我自己在過年期間CCU遇到的病人,一名近30歲年輕男性,無已知underlying diseases,一開始是因為喘以及呼吸道症況約兩週,逐漸惡化越來越喘以後先去外院。在外院急診因為太喘以及氧氣不穩定,就直接被插管了。外院CXR看起來bilateral diffused GGOs and consolidation,心臟超音波看起來LVEF約只有20%-30%合併global hypokinesia ,被轉來我們的急診。在急診因為O2太差,心臟也動得不好,所以就直接放了V-A-V ECMO 給予病人支持。

雖然我們做了一些survey,患者並無明顯的 CAD or heart failure risk factdors,但是因為心臟超音波看起來動得不好,EKG也有一些懷疑缺血的證據,結果coronary angiography 真的發現在RCA distal segment 有塞住,最後放了支架打通血管。肺部的部分,雖然使用廣效性抗生素以及利尿劑脫水後,患者的CXR有明顯進步,但卻沒有找到明顯的 infection focus。後來 V-A-V ECMO 成功 weaning 掉,患者也平安順利地出院回家,卻還是有很多問題沒有找到明顯的解釋(高血壓、單邊腎臟萎縮)。

我學到幾件事情:
1. 不要因為病人沒有傳統的risk factors 表現也不典型,就不能說他沒有myocardial infarction ;當心臟超音波以及心電圖有懷疑時,還是要比較小心謹慎去面對與評估。
2. 年輕人的血管有問題,除了傳統的risk factor 要考慮以外,一些血栓的問題、血管炎、結締組織疾病等等,都是應該要納入鑑別診斷的部分,
3. Weaning V-A-V ECMO 這種有比較複雜管路的 mechanical support時,要注意bleeding, ischemia, thrombosis 等常見的complications,不要好不容易人救會來,卻因為complications大幅影響之後的生活品質,很可惜(還好這個病人沒有發生)

藉著準備這位患者的報告時,我也重新review一次自己當初的處置哪裡還有可以進步的空間、以及複習一下各式各樣的主題:呼吸困難的鑑別診斷、AMI的處理流程、新診斷heart failure 的評估、secondary hypertension 的survey,還有最這次探討的最重要主題ECMO weaning…等等,也讓之後要走心臟科的自己先學著如何去呈現做心導管血管攝影的影像與步驟,收穫真的很多。

/////感謝許承越醫師提供以下重點簡報/////





Clerk1 謝雨彤 心得
今天MM的案例是一位上呼吸道感染的年輕男性,因病情惡化,心肺功能衰竭,又有高血壓與單側腎動脈狹窄。因此進入加護病房透過VAV ECMO(靜脈-動脈-靜脈體外生命支持)來維持循環與呼吸功能。在檢查和治療方面,先是在進行支氣管鏡檢查後未發現異常,接著進行心導管檢查發現右冠狀動脈(RCA)有100%的狹窄,並且成功放置支架。病患的診斷包括低氧性呼吸衰竭、單側腎動脈狹窄以及急性冠狀動脈綜合症(ACS)。後續病患的LVEF 改善,於是將 ECMO 調整為 VV 模式,待氧合穩定後,病患回病房持續監控。ECMO 的監測包括呼吸器參數、脈壓(pulse pressure)、PaO₂/FiO₂ ratio、超音波評估。
講者也特別提到了ECMO使用過程中的一個常見但極具風險的問題:降低流量所導致的血栓形成。在某些病況下,團隊為了減少與病患自身循環的競爭或降低灌注過度的風險,可能會選擇降低ECMO的流量,但這樣的作法如果沒有適當的抗凝管理,就會大幅增加回路中產生血栓的風險,甚至可能導致栓塞、回路堵塞或器械損壞。
在ECMO運作期間,絕對不能忽略流量與抗凝的平衡管理。
此外,對於這位原本就有動脈硬化、血管彈性差的病患而言,血栓的風險更高,這也再次強化了在決定ECMO相關參數時,不能單靠生理數值,更需要結合對病人整體血管狀態、凝血功能與潛在併發症的全面評估。
這次的病例讓我對 ECMO 的臨床應用與操作有更深入的認識。ECMO 是危急關頭的救命工具,更是一項需嚴密監控、精確判斷的高風險介入措施。VAV 模式的使用需要同時考量心臟與肺部狀態,並隨時調整支持比例。治療過程中的多項決策——從導管檢查、支架置放、藥物使用到 ECMO weaning 評估——都需要高度整合。這樣的案例也提醒我,即使是年輕人也可能出現急性冠心症與多重器官衰竭,因此臨床上需保有高度警覺與全面性診斷思維,不要忽略每個能拯救病人的小細節!
內科活動回顧
2025/5/6 (二) 我們與值班室的距離
Clerk1 蕭邦宸 心得

本週的「我們與值班室的距離」課程聚焦在nephro的主題,主要涵蓋了酸鹼、AKI、血鈉、血鉀等相關議題。因為剛結束腎臟科的course,所以對這些內容仍算是相對熟悉,不過因為小麻總是微言大義,拜讀的時候也不免有一知半解或不曉得要如何於臨床上應用的窘境,而這些疑惑有一部份也在參與完了這堂課程後有所解答,對於臨床上邏輯思考和相對應的醫囑開法、處置部分都有了更多的理解。

以酸鹼為例,判讀的流程固然重要,但是當我們真的親上火線,需要非常緊急開立醫囑的時候我想就很有可能有所遺漏,而尷尬的是若是有所缺漏就會影響到判讀,所以學長也特別提醒我們容易漏掉的血單: Cl, ketone, lactate, albumin。AKI的部分我覺得重點還是在於找出病人exposure something或者insult的時機點,然後評估AKI的嚴重程度以及評估病人的volume、electrolyte、acid-base等等的問題,並且給予相對應的處置,而學長也一再強調急洗腎的indication: AEIOU口訣幫助記憶。低血鈉的部分重點要區分hypovolemia、euvolemia、hypervolemia,不同問題所導致的低血鈉處理方式也有所不同,像hypovolemia的病人就是要給他補鈉,但要注意acute不能一天補超過8meq/L,chronic不可以超過6meq/L,所以在補充的時候密切監控血鈉變化非常重要,hypervolemia的病人則要限水限鹽、給loop diuretics,euvolemia則要考慮SIADH,只靠補NS是不夠的,需要另外有所處置。

講者PGY2 張渠 醫師
Hyperkalemia的部分學長簡介了症狀以及處理,給calcium gluconate穩定心肌,給insulin 10U和D50W 4amp使transcellular shift,還有給kalimate降鉀,我覺得最容易忽略的部分就是給了kalimate後記得要注意病人有沒有排便,沒有的話就要再給藥幫助病人排便才有效。
Hypokalemia的部分複習了如何補鉀,像是iv的部分peripheral上限10meq/hr、central上限20meq/hr、血鉀少1meq/L代表身體總共少了200meq,以此估算要補多少等等。
最後學長也提醒了我們Rocephin若和含鈣的溶液一起使用可能會有沉澱,會在肺部和腎臟沉澱,要戒慎恐懼,像是Rocephin就不可以旁插lactate ringer。課程結束後透過案例的實戰練習也讓我們把剛剛學習的內容做了實際的應用,讓學習更印象深刻。

以上內容當然都只是簡單地整理一些所學的重中之重,學長們在上課時所講述的、以及簡報檔上都有更加詳盡的內容,謝謝Y2張渠學長、Y2左訓瑜學長精心準備的上課內容,以及所有協助籌辦的師長和學長姐!
2025/5/7 (三) 木曜日超派
PGY1 周世峻 醫師 心得

這次很幸運地全程參與了內科部舉辦的第二場「木曜日超派」,主題主要聚焦於介紹 CCU 的白天與夜晚會面臨的一些事情,儘管相關的工作內容肯定是非常地不容易,尤其對我們這些缺乏經驗的新手,但是主講的學姊與學長依然可以大方地分享他們曾經也面臨到的一些我們之後大概也同樣會遇到的困難,並以輕鬆且逗趣的方式告訴面臨壓力或緊急狀況時該抱持的心態或是最低限度要做到的事,以及其他要特別注意的事項。

前半段是 CV F1 侯冠榕學姊的分享,開場先分享了曾經也是 CCU 菜鳥時遇到的一些緊急狀況,像是病人跳了 VT/VF、病人血壓低甚至休克,除了大概跟我們簡介對於不正常的 vital sign 我們有那些鑑別診斷可以去思考,也提醒我們在還懵懂時至少要做到的事情像是大聲求援 call CR、跳上去開始 CPR,或是下 3分鐘給一支 Bosmin 的 order,同時也讓我們一睹病況較嚴重的病人病床周圍常常是塞滿各種儀器的壅塞,可以先預先想好急救時的動線。學姊也在經歷過CCU 那麼多的生死別離及歷練後,得出的心得,像是醫療於垂危性命的侷限性以及每次經歷的急救甚至挫敗都會使我們更上一層樓。最後,學姊也很大方分享了在 ICU 對於病況複雜的病人的交班單,不僅是為了跟值班醫師交班,也是釐清自己的思路以及提醒有哪些代辦清單或是檢驗結果尚未出來需要追蹤的。

後半段是內科 R3 許承越學長的分享,內容更著重於 CCU 病人的常見疾病以及相對應的處理方法,像是 acute coronary syndrome 患者的檢查及用藥以及在特殊狀況如 acute hepatitis 可以先 hold statin 類藥物,heart failure 患者要注意I/O、OHCA/IHCA 病患要注意啥時開始 CPR 以及 CPR 多久,有無 ROSC,以及特別提到了「會客時間」的環節應該注意的地方,像是學長特別提醒了我們可以善用中文在 progress note 上紀錄與家屬會談的內容,以及很重要的是不要在未跟主治醫師確認的情況下主動與家屬解釋是否放 ECMO,以及由於 CCU 病人大多血管狀況不是很好,如果管路置放困難應該第一時間通知上線幫忙,並且特定管路像是 cath-sheath 的拔除一定也是先找 CR 並不可自行拔除。除此之外,學長也提供了內科部網站的學習資源供我們預先學習。

很感謝內科部願意舉辦相關的講座,因為 ICU 一直是我們這種菜鳥住院醫師尚無法企及的領域,藉由這次講座可以讓我們一窺 CCU 裡面的秘密,甚至也提供好吃的晚餐讓我們大腦跟腸胃都得到滿滿的饗宴。

/////感謝侯冠榕醫師提供以下重點簡報/////





/////感謝許承越醫師提供以下重點簡報/////





2025/5/10 (六) 跨科研究論壇
PGY1 陳柔臻 醫師 心得

高血壓是一項十分常見的主訴,其中約5%的病患是由於Exogenous, Renal, Mechanical及Edocrine等原因而導致的Secondary hypertension。內科部在5/10特別舉辦腎臟科&內分泌暨新陳代謝科的跨科研究論壇,針對其中一項etiology — Primary aldosteronism (PA)進行詳細的討論。
Pheochromocytoma and paraganglioma : New perspectives on classification, evaluation, and management
腎臟科 塗貽然 醫師

第一個主題是由塗貽然醫師主講的「Pheochromocytoma and paraganglioma : New perspectives on classification, evaluation, and management」,塗醫師在演講中提到,Pheochromocytoma and paraganglioma (PPGL)皆具有metastasis potential,若懷疑PPGL,可檢驗Plasma free metanephrine和24 hours urinary fractionated metanephrine,診斷之後建議手術切除,術後須持續追蹤至少10年以上。
/////感謝塗貽然醫師提供以下重點簡報/////









Primary aldosteronism associated with metabolic and endocrinologic disease
新陳代謝科 吳明諴 醫師

第二個主題是由吳明諴醫師主講的「Primary aldosteronism associated with metabolic and endocrinologic disease」, PA患者較容易發展出DM, osteoporosis, acromegaly, lower thyroid function, thyroid nodules, parathyroid disease;Prolactinoma可能會進一步造成PA;Cushing’s disease, Adrenal Cushing, Pheochromocytoma則較少證據顯示其與PA共存;mild autonomous cortisol secretion在PA患者中的盛行率為21.9%。
/////感謝吳明諴醫師提供以下重點簡報/////





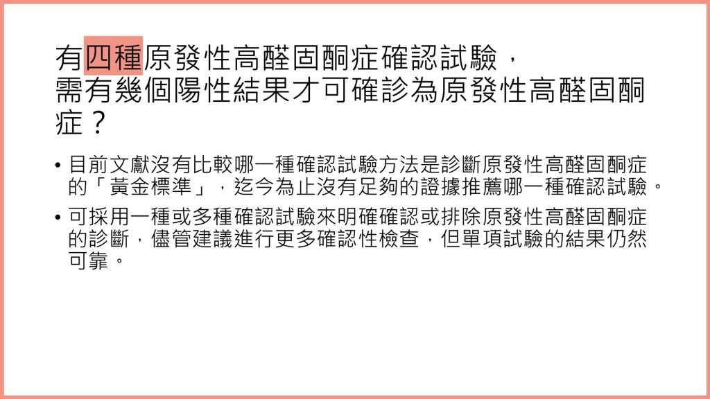
The clinical significance of confirmation test in detecting PA
新陳代謝科 許嘉容 醫師

第三個主題是由許嘉容醫師主講的「The clinical significance of confirmation test in detecting PA」,許醫師介紹了好幾種confirmation test,包括:
● Captopril Challenge Test (CCT)
● Saline Infusion Test (SIT)
● Oral Sodium Loading Test (OST)
● Fludrocortisone Suppression Test (FST)
● Furosemide Upright Test (FUT)
● Losartan Suppression test (LST)
目前沒有哪一種方式是診斷PA的gold standard,可採用一種或多種確認試驗來明確確認或排除PA的診斷。
/////感謝許嘉容醫師提供以下重點簡報/////





Real world practice of primary aldosteronism – CGMH experience
腎臟科 塗昆樺 醫師

第四個主題是由塗昆樺醫師主講的「Real world practice of primary aldosteronism – CGMH experience」, 塗醫師在演講中提到,2022 台灣原發性高醛固酮症準則大會建議使用saline infusion test及captopril challenge test作為confirmation test。在診斷PA之後,可藉由Adrenal vein sampling來鑑別單側、雙側。另外要注意的是,自主性皮質醇分泌會干擾AVS的判讀,建議做overnight 1-mg dexamethasone suppression test評估。
/////感謝塗昆樺醫師提供以下重點簡報/////





Medical or surgical treatment in primary aldosteronism
新陳代謝科 許哲綸 醫師

第五個主題是由許哲綸醫師主講的「Medical or surgical treatment in primary aldosteronism」,單側PA的首選治療方式是手術切除,若為雙側PA,首選治療則為藥物治療,第一線藥物為Spironolactone,如果對Spironolactone有side effect,也可考慮Eplerenone、Amiloride。治療效果可以透過血壓、K+、aldosterone/Renin level來追蹤。
/////感謝許哲綸醫師提供以下重點簡報/////





Hypercholesterolemia and Hypertriglyceridemia in CKD
腎臟科 顏介立 醫師

第六個主題是由顏介立醫師主講的「Hypercholesterolemia and hypertriglyceridemia in CKD」,CKD的患者常常呈現HDL的下降、Triglyceride / VLDL的升高、正常或下降的LDL(但CKD會延長LDL在血液中的時間),導致ASCVD risks增加。若要控制CKD患者的膽固醇,首選的藥物為Statin。不同guideline對於LDL的控制標準都有各自的主張,不過根據長庚醫院的cohort study,隨著CKD的嚴重度,LDL的目標值也應該要變得更嚴格。
/////感謝顏介立醫師提供以下重點簡報/////





精彩照片雲集















2025/5/15 (四) 我們與值班室的距離
Clerk2 林稚涵心得

今天是「我們與值班室的距離」系列課程的最後一堂課,主題是值班常見的CNS問題,包括了altered mental status與seizure這兩大部分,也剛好都是我自己最擔心以後值班會遇到的狀況。第一部分是由林華瑄學姊講解,學姊特別強調遇到病人conscious change時,一開始一定要先確認三樣東西—「Vital sign、Sugar、SpO2」,然後盡快去看病人,並且先排除掉最緊急的brain stem involvement,之後再從history, PE, 看電腦思考可能的鑑別診斷(AEIOUTIPS)。下一步就是依照可能的鑑別診斷安排相對應的抽血與檢查,學姊也特別提點了幾種常見的狀況(hypoglycemia, sepsis, C02 retention…)要如何處理。

第二部分是由許家峯學長帶我們了解遇到病人seizure的處理流程,學長說這時候就馬上用最快的速度去看病人!原因是seizure的時間持續得越久會越難停,更會造成病人不可逆的腦損傷。第一步還是keep vital sign stable,確認ABC沒有異常,確認發作時間與pattern,排除低血糖引起的seizure。首先還是要讓seizure停止,藥物會先給BZD (Lorazepam, Diazepam),每3-5分鐘給一次,如果給了兩次還是無效,就要考慮loading AED。接下來我們就可以一樣從病人的history, NE, 用藥推敲可能的鑑別診斷(AEIOUTVBS),以及進行後續的survey。學長也特別提醒了容易被忽略的drug-drug interaction (Valproate, Carbapenem),還有做CT的時間點。

我覺得這堂課與前面幾堂值班系列課程一樣,內容都非常的實用,包括最後學長姐也再補充了談DNR的時機點與內容,帶我們討論了一個conscious change+ seizure + 最後發現是大範圍SAH+ICH然後簽署DNR的case(把這堂課上的東西都用上了XD),還帶我們實際看不同呼吸pattern的影片,學長姐真的非常的用心想讓我們能好好地學會然後運用出來。

最後想由衷的感謝所有擔任講師的內科組Y2學長姐們,在工作極度繁忙之餘還願意幫我們上這一系列超級完整的值班課程,每一堂課還會特別提點call CR的時機與安排一兩個case作為練習,8月上工前一定要好好地把這些”guideline”複習好幾遍XDD已經可以想像到未來第一次值班遇到病人出狀況時的迷惘與慌亂,能夠因為這些指引而有一份踏實,知道初步應該先完成哪些處置,而不會腦袋一片空白只能打給學長姊求救。最喜歡這堂課的骨幹”Stabilization, Treat the etiology, Reassessment”,也是之前在11C遇到CR耿祥庭學長說希望我們可以帶走的觀念,希望自己之後就算在身心極度疲累的值班過程中也能好好記得。

內科好事
R2 羅筱婷 醫師
大家好,我是今年新進的內科R2羅筱婷,即將在11月進入ICU學習,請大家多多指教!
相信所有正在ICU或是即將進入ICU學習的R2們都會因為面對未知的情況感到焦慮不安的時候。在這樣的時刻,我非常推薦大家能去海邊走一走,看著一望無際的海邊,彷彿能讓煩惱減少一點。
其中在北部海岸中,”許厝港溼地”是我最喜歡的地方,距離林口長庚開車30分鐘。許厝港溼地是北台灣最大的海岸型濕地,也是許多候鳥的重要棲地 (雖然我從來沒有去這裡看鳥過)。

前往許厝港時,非常推薦在離10分鐘路程遠的竹圍漁港買足吃食,竹圍漁港可說是我從小吃到大的漁港,生魚片新鮮好吃又不會太貴,甜蝦、海膽、干貝應有盡有,假日更有許多小吃攤販,販賣炸物、燒烤、烤玉米、烤魷魚,其中現做的旗魚黑輪是我第一推薦的品項

購足所有食物後就可以前往許厝港了,許厝港的溼地周圍有一條長長的木棧道圍繞,全長非常長,可以在上面盡情放空腦袋散步。但是更推薦的是,在退潮沙岸露出時,脫下鞋子走到岸邊感受海水的冰涼以及沙子細膩的觸感。

許厝港的夕陽也是相當漂亮,天氣好的時候偶爾會出現彩霞,配合遠方的風車,讓景色更加如畫。

因為這邊是溼地,建議大家前往之前查好潮汐變化,退潮的時候來才辦法走到岸邊喔,另外海邊風很大,最好要帶個外套來。

希望大家喜歡我寫的這篇內科好事,祝福大家住院醫師生涯都能順順利利的度過。
以上是第一百零九期週報~
有什麼話想對我們說的話
都歡迎來信至ccj3665@gmail.com!
發表留言